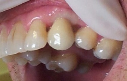
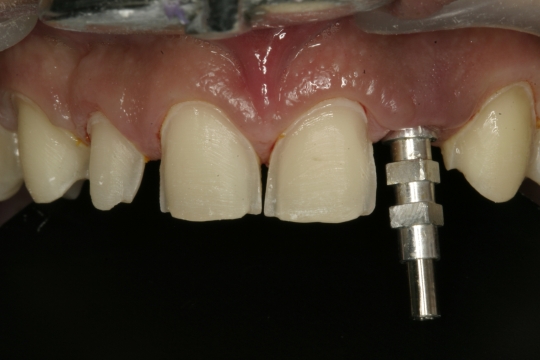
La Implantología ha constituido la principal revolución clínica de la odontología.
Esta técnica nos permite poner dientes fijos sin tocar los dientes adyacentes.
Existen múltiples casas comerciales de implantes dentales. En nuestra clínica utilizamos el sistema Straumann (www.straumann.es), uno de los sistemas líderes a nivel mundial.



La Periodoncia es la especialidad de la odontología que se ocupa del tratamiento de las enfermedades que afectan a las encías y a los tejidos de soporte que rodean a los dientes.
La incidencia de estas enfermedades infecciosas de las encías (gingivitis, periodontitis o "piorrea") es muy alto.
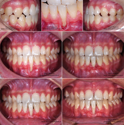
La Ortodoncia tiene como objetivo la alineación dental y corregir las anomalías masticatorias.
Esto se consigue obteniendo una buena relación entre el maxilar superior y la mandíbula.
Para ello se cuenta con las últimas técnicas en ortodoncia mediante brackets autoligables, brackets estéticos transparentes, técnicas Invisalign ® y brackets metálicos convencionales.


La Endodoncia es la especialidad que se encarga de la eliminación de la pulpa dentaria y sustitución mediante un material biocompatible, cuando la pulpa está afectada por traumatismos o caries muy profundas.
Es quizás una de las disciplinas odontológicas más complejas, y se aconseja ser realizado por un especialista, para así aumentar el porcentaje de éxito del diente que ha sido endodonciado.
Es la especialidad de la Odontología, que trata el diagnóstico y todo el tratamiento quirúrgico de las enfermedades, anomalías y lesiones de los dientes , de la boca, de los maxilares y de sus tejidos adyacentes.
Engloba actos quirúrgicos como extracción de dientes incluídos, cirugía periapical, fenestraciones, eliminación de quistes, frenectomías....


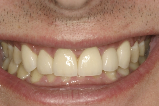
Actualmente la Estética dental juega un papel muy importante. Por ello ofrecemos las últimas novedades en las técnicas de carillas, rehabilitaciones de cerámicas sin metal, ortodoncia estética, blanqueamiento dental...



+34 952 395 557
C/ Muladies nº 2-1ºA (esq. Av. Carlos Haya, 15)
Málaga - España